Rodilla
Tratamientos
En el Instituto de Traumatología Gastaldi Orquin, adaptamos los tratamientos para la rodilla según la intensidad y el tipo de dolor, priorizando siempre soluciones conservadoras antes de recurrir a la cirugía.
- Artroscopia de rodilla: Procedimiento mínimamente invasivo para reparar meniscos, cartílago o ligamentos.
- Reconstrucción de ligamentos (como el LCA): Utilizando técnicas modernas para garantizar estabilidad y funcionalidad.
- Alteraciones de alineación de miembros.
- Prótesis de rodilla: Parcial o total, en casos de artrosis avanzada.
ARTROSIS DE RODILLA
La artrosis de rodilla es una enfermedad degenerativa que desgasta el cartílago de la articulación, causando dolor, inflamación y dificultad para moverse. Es común en personas mayores o con sobrepeso, pero también puede aparecer por lesiones previas.
Tratamientos:
- Infiltraciones ECO guiadas (para reducir el dolor y la inflamación).
- Medicina regenerativa (estimula la reparación del tejido dañado).
- Cirugía: Prótesis de rodilla (reemplazo de la articulación en casos avanzados).
- Cirugía protésica asistida mediante ROBOT.
ALTERACIONES DEL EJE DE LA RODILLA
Genu varo («piernas arqueadas»): Alteración en la que las rodillas se separan, formando un arco hacia afuera al juntar los pies. Común en niños pequeños, pero si persiste puede causar artrosis temprana.
Genu valgo («rodillas juntas»): Las rodillas se tocan mientras los tobillos permanecen separados. Frecuente en etapas de crecimiento, pero si no se corrige puede generar dolor y problemas de marcha.
Tratamientos:
En niños: Control evolutivo (suele corregirse solo)
En adultos: Plantillas, fisioterapia o cirugía (osteotomía) en casos graves
Ambas condiciones pueden afectar la alineación corporal y requerir atención si provocan dolor o limitaciones.
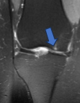
Lesiones de ligamentos de rodilla: Las roturas del ligamento cruzado anterior (LCA) son frecuentes en deportes por giros bruscos, presentando crujido audible e inestabilidad. El ligamento cruzado posterior (LCP) suele dañarse por impactos directos en la tibia, causando dolor en la corva y riesgo de artrosis. El ligamento femoropatelar medial (LFPM) es clave para la estabilidad rotuliana, y su lesión provoca sensación de fallo en la rodilla, especialmente tras luxaciones. Las roturas de ligamentos colaterales (medial/lateral) ocurren por torceduras laterales, generando dolor al forzar la apertura o cierre articular. El tratamiento varía desde rehabilitación para lesiones parciales hasta reconstrucción artroscópica en roturas completas, siendo esencial un diagnóstico preciso mediante resonancia magnética y exploración física especializada.
Tratamientos:
- Cirugía: Artroscopia (repara o reconstruye los ligamentos dañados).
El menisco es un fibrocartílago que amortigua la rodilla. Las roturas pueden ocurrir por traumatismos o desgaste, causando dolor, hinchazón y bloqueo de la articulación.
Tratamientos:
- Infiltraciones ECO guiadas (para aliviar el dolor y la inflamación).
- Medicina regenerativa (promueve la reparación del menisco).
- Cirugía: Artroscopia (repara o extirpa la parte dañada del menisco).
Las lesiones de cartílago en la rodilla pueden ser causadas por traumatismos, sobrecarga o desgaste. Provocan dolor, inflamación y dificultad para moverse.
Tratamientos:
- Infiltraciones ECO guiadas (para aliviar el dolor y la inflamación).
- Medicina regenerativa (acelera la recuperación de tendones y músculos).
- Cirugía de reconstrucción (en casos de roturas severas).
Incluye diversas afecciones como tendinitis rotuliana, cuadricipital, pata de ganso, cintilla iliotibial (rodilla de corredor), y roturas de tendones como el rotuliano o cuadricipital. Causan dolor, inflamación y limitación funcional, especialmente en deportistas.
Tratamientos:
- Infiltraciones ECO guiadas (para aliviar el dolor y la inflamación).
- Medicina regenerativa (acelera la recuperación de tendones y músculos).
- Cirugía de reconstrucción (en casos de roturas severas).